歯がボロボロ

こんなお悩みありませんか?

  • 歯がボロボロで人前で笑えない
  • 噛みにくくて食事が楽しめない
  • 治療を途中でやめてしまい悪化した

このようなお悩みは、多くご相談をいただきます。
当院では、重度のむし歯・歯周病・欠損歯が複数ある方に向けた総合的な治療(フルマウス治療)を行っています。 悪くなった部分だけを治すのではなく、お口全体の機能と見た目をトータルに改善する治療計画をご提案します。

インプラント、ブリッジ、入れ歯、セラミック、歯周病治療など、複数の治療法を組み合わせることで、しっかり噛める口元と自然な見た目を取り戻せます。
「今さら歯医者に行きづらい…」「北九州市でどこに相談すればよいかわからない」という方もご安心ください。
当院では、痛みや不安に配慮し、段階的で無理のない治療計画を丁寧にご説明します。
北九州市で「歯がボロボロ」「噛めない」「やり直したい」とお悩みの方は、まずはお気軽にご相談ください。
あなたに合った最適な治療方法で、再び笑顔で過ごせる毎日をサポートいたします

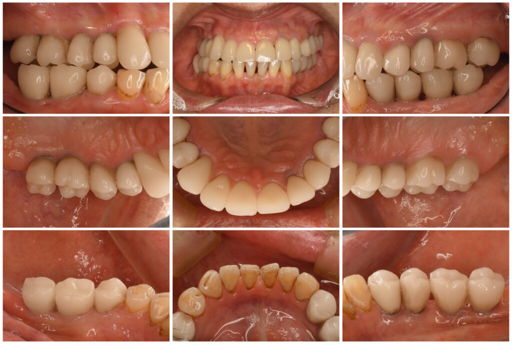
症例

治療前
治療後
主訴 インプラントの相談がしたい
治療内容 インプラント9ヶ所、精密根管治療11ヶ所、ダイレクトボンディング2ヶ所
費用 6,130,000円 (6,743,000円/税込)
副作用/リスク 治療後のメンテナンスが必要、歯を削る必要がある

よくある質問

A

はい、問題ありません。よつば歯科クリニック(北九州市)では、歯がボロボロの状態から治療を始められる患者さまが多く来院されています。
長年歯医者に行けなかった方、歯が欠けたり抜けたりしている方でも、現在の状態を丁寧に確認し、残せる歯はできる限り残す治療を行います。
いきなりすべてを治療することはなく、痛みの緩和を優先しながら段階的に進めていきますので、安心してご相談ください。

A

歯医者に対する恐怖心がある方も、安心してご来院ください。北九州市のよつば歯科クリニックでは、歯医者が怖い・苦手という患者さまへの配慮を大切にしています。
治療前には必ず内容や流れを説明し、無理に治療を進めることはありません。
「今日は相談だけ」「検査だけ」といったご希望にも対応していますので、まずは不安な気持ちをお聞かせください。

A

初診では、応急処置と検査・カウンセリングを中心に行います。
強い痛みや腫れがある場合は、その日のうちに症状を和らげる処置を優先します。
その後、レントゲン撮影や口腔内検査を行い、治療が必要な箇所や治療方法、期間・費用の目安を分かりやすくご説明します。
患者さまの同意なく治療を進めることはありませんのでご安心ください。

A

はい、痛みがなくても受診をおすすめします。
虫歯や歯周病は初期段階ではほとんど症状が出ないことが多く、気づいたときには進行しているケースも少なくありません。
北九州市のよつば歯科クリニックでは、定期検診や早期発見・早期治療に力を入れています。
結果的に治療回数や費用を抑えられる可能性があります。

A

初診時の費用は、保険診療の場合おおよそ3,000円〜5,000円程度が目安です(検査内容により前後します)。
北九州市のよつば歯科クリニックでは、事前に費用の目安をお伝えし、ご納得いただいたうえで治療を進めています。
自費診療が必要な場合も、必ず説明と同意を行いますのでご安心ください。

A

治療期間はお口の状態や治療内容によって異なります。
軽度の虫歯であれば短期間で終わることもありますが、歯周病や歯がボロボロの状態の場合は、数か月単位での治療が必要になることもあります。
よつば歯科クリニックでは、通院頻度や期間についても事前にご説明し、無理のない治療計画をご提案します。

A

はい、可能な限り対応しています。
北九州市のよつば歯科クリニックでは、患者さまの生活スタイルに合わせ、1回の治療時間を長めに取るなど通院回数を抑える工夫を行っています。
お仕事や育児で忙しい方も、まずはご相談ください。

A

必ずしも抜歯が唯一の選択肢とは限りません。
当院では、できる限り歯を残す治療を大切にしています。
現在の状態を精密に検査したうえで、残せる可能性があるかどうかをご説明します。
複数の治療選択肢を提示し、患者さまにご納得いただいてから治療を進めます。

A

お悩みが複数ある場合や、どの診療を受ければよいかわからない場合も問題ありません。
よつば歯科クリニックでは、まずカウンセリングを行い、患者さまのお口全体の状態を確認したうえで適切な診療をご案内します。
初診時にすべて判断できますので、安心してご来院ください。

A

はい、もちろん大丈夫です。
「いきなり治療されるのが不安」「まずは話だけ聞きたい」という方も多く来院されています。
北九州市のよつば歯科クリニックでは、患者さまの不安を解消することを大切にしています。
相談だけのご予約も歓迎していますので、お気軽にお問い合わせください。

CONTACT お問い合わせ