矯正歯科

当院の矯正治療について

当院の矯正治療について

矯正治療をメンテナンスの一環として重視

矯正治療を予防歯科の一環として重視

当院はメンテナンスを専門とする歯科クリニックとして、矯正治療を歯の健康を守るための重要な手段と考えています。矯正治療は、歯並びを整えることで美しい口元と健康的な噛み合わせを実現する歯科治療です。

噛み合わせの問題(不正咬合)は、歯の位置や骨の形、上下顎骨の関係が正常でない状態を指します。このような状態を放置すると、見た目の問題だけでなく、歯磨きがしにくくなることで虫歯や歯周病のリスクが高まるほか、噛む機能の低下、発音に問題が出る、さらには噛み合わせの負荷により歯が悪くなってしまうといった悪影響を及ぼすことがあります。

そのため、当院では矯正治療を通じて美しい見た目の改善だけでなく、虫歯や歯周病のメンテナンス、さらに歯の機能向上を目指した治療を提供しています。

メリット

  • 口元や横顔が美しく整い、自信を持って笑えるようになります。
  • 正しい噛み合わせにより清掃しやすくなり、虫歯や歯周病の予防につながります。
  • よく噛めるようになることで胃腸への負担が軽減され、全身の健康が向上します。
  • 舌や口周りの筋肉の動きが正常化し、滑舌や発音が改善されます。
  • 噛み合わせが整うことで、顎関節症、頭痛、肩こりの改善が期待できます。

デメリット

  • 個人差がありますが、矯正装置に慣れるまで不快感を感じることがあります。
  • 歯が移動する際に痛みを感じることがあります。
  • 症例によっては3年以上の治療が必要になる場合があります。

マウスピース矯正

マウスピース矯正

マウスピース矯正は、透明な素材で作られたマウスピース型の装置を用いて歯列を矯正する治療法です。患者様一人ひとりの歯並びに合わせてオーダーメイドのマウスピースを製作し、1~2週間ごとに新しいマウスピースへ交換することで徐々に歯を理想的な位置へと導きます。
当院では、マウスピース矯正を中心とした矯正治療を行っており、患者様のお口の状態やご希望に応じて、適切な治療プランをご提案しています。

マウスピース矯正のメリット

  • 透明な素材のため、装着中でも目立ちにくく自然な印象です。
  • 食事や歯磨きの際には装置の取り外しができ、清掃がしやすく、口腔内の衛生を保ちやすい点が特徴です。
  • 治療中の調整が少なく、忙しい方でも継続しやすい治療です。
  • 金属を使用しないため、アレルギーがある方も安心です。

マウスピース矯正のデメリット

  • 装置の装着時間を守るなど、患者様の意識が治療結果に大きく影響します。
  • 飲食のたびに装置を取り外し、再装着する手間があります。

SMA(シェイプメモリーアライナー)

SMA(シェイプメモリーアライナー)

Shape Memory Aligner®(SMA)は、3Dプリンターを活用して直接製作される革新的なマウスピース矯正素材です。この素材は形状記憶性を持ち、矯正中に歯にかかる力が穏やかで、痛みを小さく抑えられるのが特徴です。 従来のマウスピース矯正では、チューイーを噛む必要がありましたが、SMAでは装着するだけで歯を効率よく動かせます。このような特性を持つマウスピースは現在、他には存在していません。

また、SMAは3Dプリンターで直接製作するため、従来のマウスピースに比べて適合性が非常に優れています。その結果、1枚のマウスピースで従来の約1.5倍のスピードで歯を移動させることが可能とされています。
SMAは矯正分野で注目を集める技術ですが、初期設備投資が必要なことから、導入している歯科医院はまだ少ないのが現状です。 当院では、下関本院にSMAの機材を導入し、院内でマウスピースを製作できる環境を整えています。このため、治療の準備期間を大幅に短縮し、スピーディーに矯正治療を開始することが可能です。

さらに、治療期間も従来のマウスピース矯正より大幅に短縮できます。 SMAを活用した効率的で快適な矯正治療をお求めの方は、ぜひ当院にご相談ください。 適切な治療プランをご提案いたします。

※取得したデータから矯正後のイメージを案内

SMA(シェイプメモリーアライナー)

シュミレーション前

SMA(シェイプメモリーアライナー)

シュミレーション後

CTで骨の中で歯の移動を計画するため、歯根露出や歯髄失活等のリスクが少なく、
安全で、予測実現性の高い治療計画が立案できます。

シュミレーション前

シュミレーション後

お顔に対してスマイルラインが最もきれいに見える
歯の位置で治療計画を立てます

マウスピース型矯正「インビザライン」

当院では、透明なマウスピースを装着して歯列矯正を行う「マウスピース矯正(インビザライン)」に力を入れています。マウスピース矯正は、透明な装置のため目立ちにくい、食事や歯磨きのときに取り外しができるなど、メリットが多いことが特徴です。
マウスピース矯正にはいくつかの種類があり、「前歯1本だけ矯正したい」といったご要望にも対応できます。患者様の口の中の状態やご要望に応じて、適切な治療プランをご提案しますので、まずはお気軽にご相談ください。

インビザライン

インビザラインの特徴

  • 透明な素材のため、装着中でも目立ちにくく自然な印象です。
  • 食事や歯磨きの際には装置の取り外しができ、清掃がしやすく、口腔内の衛生を保ちやすい点が特徴です。
  • 治療中の調整が少なく、忙しい方でも継続しやすい治療です。
  • 金属を使用しないため、アレルギーがある方も安心です。

「インビザライン プラチナドクター」が在籍

当院は、インビザラインの年間症例実績が多い医院にだけ与えられる「インビザライン プラチナドクター」に認定されています。
インビザラインは、3Dスキャナーを用いるなどデジタルな要素があることから、どこの歯科医院で治療を行なっても同じと思われてしまうことがあります。しかし、実際は他の矯正治療法と同じように、高い技術と豊富な知識が求められる矯正治療法です。
歯並びでお悩みでマウスピース矯正(インビザライン)をお考えの方は当院までご相談ください。

マウスピース矯正の違い

マウスピース矯正の種類 インビザライン SMA
矯正開始までの期間 3〜4週間 1週間
矯正中の痛み わずか インビザラインの1/10
CTとのマッチング なし あり
治療計画 歯並びのみ 顔貌や歯並び、歯根まで細かく分析可能
計画の正確性 低い(予測実現性50%) 高い
起こりやすいトラブル アタッチメントの脱離、アンフィット 破損、材質によるアレルギー
チューイー あり なし
1枚当たりの移動量 0.25mm 0.35〜0.45mm

治療費は下の表にあるアライナー矯正になります。料金はどちらも同じです

ワイヤー矯正

ブラケット矯正は、歯に「ブラケット」と呼ばれる装置を装着し、そこにワイヤーを通して力を加えることで、歯を目的の方向に動かし歯並びを整える矯正治療法です。

メリット

  • 装置の自己管理が不要
  • 装置をつけたまま飲食が可能
  • 歯の回転が得意

デメリット

  • 歯磨きがしづらく、フロスを通せないため、虫歯や歯周病になりやすい。
  • 口内炎が出来やすい
  • 装置のトラブルが多い

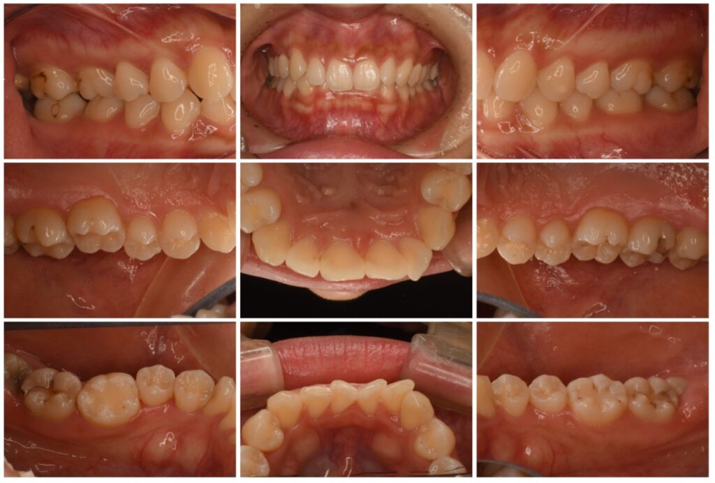
症例

ワイヤー矯正)

治療前

ワイヤー矯正

治療後

主訴 八重歯が気になる
治療内容 ワイヤー全顎矯正
費用 960,000円(税抜)
副作用/リスク 歯根吸収、ブラケット脱離、口内炎

部分矯正(MTM)

部分矯正(MTM)

「前歯だけ気になる」「特定の歯並びを整えたい」という場合には、「部分矯正」や「MTM(部分矯正)」がおすすめです。

部分矯正は、 上下それぞれ6本の前歯を対象とした矯正治療で、目立つ部分の歯並びを改善します。一方、MTM(部分矯正)は、1本の歯を含む部分的な歯列矯正が可能な治療法です。
これらの治療は、必要に応じてワイヤー矯正や外科的治療と組み合わせて行います。
具体的には、引っ込んだ歯を引き出す・引っ込める、傾いた歯を正しい角度に起こす、回転した歯を整えるといった矯正治療を行います。

小児矯正

お子さまの歯並びや噛み合わせに気になる点はありませんか?よつば歯科では、成長期の顎の発育を利用した小児矯正を行っています。
小児矯正は、永久歯が生えそろう前の「混合歯列期(6〜12歳)」に始めることで、自然な成長を活かし、将来の抜歯や大掛かりな矯正を避けられる可能性があります。
拡大床やマウスピース型装置などを用い、お子さま一人ひとりに合った方法で治療を進めます。早期に治療を始めることで、歯並びの改善だけでなく、発音や咀嚼、姿勢、呼吸の発達にも良い影響を与えます。
まずはお子さまの歯並びを正しく診断することが大切です。下関で小児矯正をご検討の方は、よつば歯科クリニックへお気軽にご相談ください。

一般的な矯正治療の流れ

  • 1カウンセリング

    矯正治療をご検討中の患者様には、まずカウンセリングを実施します。歯並びに関するお悩みやご要望を丁寧に伺い、最適な矯正治療プランをご提案します。治療方法、期間の目安、費用についてもわかりやすくご説明しますので、安心してご相談ください。

  • 2診察・検査

    視診、口腔内写真の撮影、レントゲン検査、CTスキャンなどを行い、口腔内の状態を詳しく診断します。当院では、3Dスキャナー「アイテロエレメント」を導入しており、従来よりも短時間で精密な型取りが可能です。これにより、治療の精度が向上し、期間短縮にもつながります。

  • 3矯正治療スタート

    マウスピース矯正の場合は患者様の口腔形状に合わせて製作されたマウスピースを装着していただきます。ワイヤー矯正の場合は歯にブラケットを装着し、ワイヤーを通して矯正治療を開始します。

  • 4調整期間
    調整期間

    マウスピース矯正の場合は月に1回通院いただき、進行状況に応じて新しいマウスピースを製作・交換します。ワイヤー矯正の場合はおよそ月2回通院いただき、ワイヤーの調整を行います。

  • 5保定・メンテナンス
    保定・メンテナンス

    矯正治療終了後は、歯の後戻りを防ぐため保定装置を使用します。保定期間は1年間は1日12時間、その後は就寝時のみ装着します。また、定期的に来院していただき、後戻りの兆候や必要に応じた調整を行います。治療終了後も継続的なメンテナンスを行うことで、美しい歯並びを長く保つお手伝いをいたします。

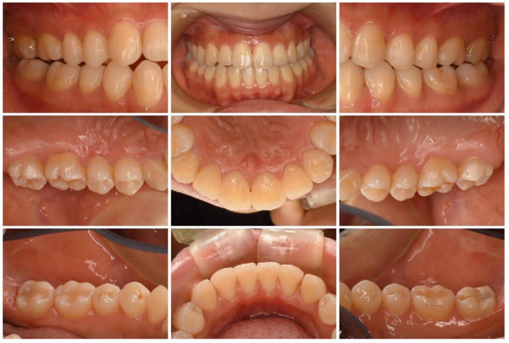
成人矯正症例

CASE①:成人矯正

詳細 歯並びが気になるとのことで、インビザラインマウスピース矯正を開始しました。患者様が毎日真面目にマウスピースを装着し、医院からの指示を守ってくださったこともあり、約1年という短い期間で矯正が完了しました。
治療期間 1年1ヶ月
治療回数 計17回
治療費 860,000円(946,000円/税込)
副作用・リスク 歯根吸収が発生・進行するリスク
過度な矯正力や咬合力による歯根膜の損傷、歯の喪失

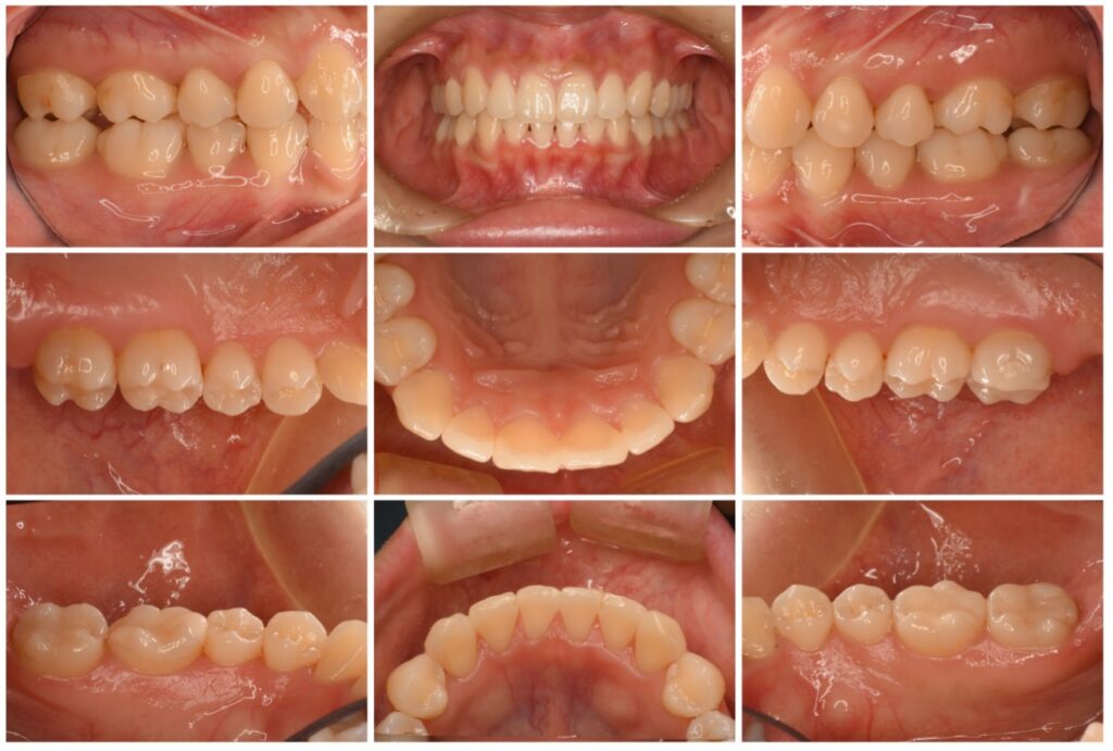
CASE②:成人矯正

詳細 矯正をしたいというご希望があり、ご来院されました。永久歯をなるべく抜歯したくないということでしたので、臼歯を奥に動かす遠心移動を得意としたマウスピース矯正をおススメし、非抜歯で治療計画を立てました。結果、約1年という短い期間で、歯を抜かず、綺麗な歯並びを獲得することができました。最初の状態とフィニッシュの状態で見比べ、大変ご満足して頂きました。
治療期間 1年1ヶ月
治療回数 計7回
治療費 860,000円(946,000円/税込)
(保定込み)
副作用・リスク 歯根吸収が発生・進行するリスク
過度な矯正力や咬合力による歯根膜の損傷、歯の喪失

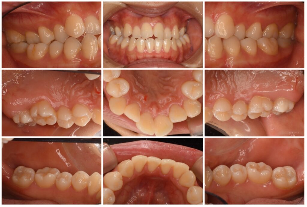
CASE③:成人矯正

詳細 初めは虫歯治療で来院されましたが、矯正治療にも興味を持って頂き、インビザラインマウスピース矯正を開始しました。気になっていた前歯のゆがみや噛み合わせが改善され、喜んでいただけました。
治療期間 1年7ヶ月
治療回数 計19回
治療費 860,000円(946,000円/税込)
副作用・リスク 歯根吸収が発生・進行するリスク
過度な矯正力や咬合力による歯根膜の損傷、歯の喪失

よくある質問

A

一般的には6〜7歳頃が目安です。永久歯が生え始める時期に顎の成長を利用した治療が可能になります。当院では、成長段階に合わせた小児矯正を行っていますので、まずは早めの相談をおすすめします。

A

もちろん可能です。成人矯正は見た目だけでなく、噛み合わせや将来の歯の健康にも良い影響を与えます。最近は透明なマウスピース矯正など、目立たない方法も人気です。

A

症例によりますが、部分矯正で6か月〜1年、全体矯正で1年半〜3年ほどが目安です。治療方法や歯並びの状態により前後します。

A

装置を付けた直後や調整後に、2〜3日ほど軽い違和感を感じることがあります。最近は弱い力で歯を動かす装置が主流のため、痛みはかなり軽減されています。

A

マウスピース矯正、ワイヤー矯正ともに食事に制限はありません。

A

一般的な歯並びの矯正は自費診療ですが、顎変形症や唇顎口蓋裂などの特定疾患に該当する場合は保険適用になります。詳細は診断時にご説明いたします。

A

マウスピースは透明で目立たず、取り外しが可能ですが、お食事の際は取り外す必要があります。一方でワイヤーは取り外せませんが、装置のつけ外しを忘れることがなくそのままお食事が可能です。マウスピースとワイヤーでは得意な動きが違いますので、患者さまのご希望と歯並びの状態に合わせて最適な方法をご提案します。

A

床矯正(取り外し式の装置)やマウスピース型装置など、年齢や成長段階に応じて選択します。痛みや見た目の負担が少ないタイプもあり、学校生活にも支障が出にくいです。

A

治療後は「リテーナー(保定装置)」を一定期間使用して歯並びを安定させます。しっかり保定することで、後戻りを防ぎ、きれいな歯並びを長く保つことができます。

矯正費用

矯正共通項目[検査/保定]

矯正検査[CT,口腔内写真撮影等] 30,000円(33,000円/税込)
リテーナー 1セット 30,000円(33,000円/税込)
追加矯正 100,000円(110,000円/税込)

アライナー矯正

アライナー部分矯正(1歯のみ) 100,000円(110,000円/税込)
アライナー部分矯正(前歯のみ) 400,000円(440,000円/税込)
アライナー全顎矯正 900,000円(990,000円/税込)
Ⅰ期治療→Ⅱ期治療 移行 400,000円(440,000円/税込)

ワイヤー矯正

ワイヤー部分矯正(1歯のみ) 100,000円(110,000円/税込)
ワイヤー部分矯正(前歯のみ) 400,000円(440,000円/税込)
ワイヤー全顎矯正 900,000円(990,000円/税込)
TAD[インプラントアンカー] 20,000円(22,000円/税込)
Ⅰ期治療→Ⅱ期治療 移行 500,000円(550,000円/税込)

デンタルローンでのお支払いについて

当院では、デンタルローンを使用することが可能です。
まとまった金額でのお支払いが難しく、矯正治療を諦めていた方などは是非当院へご相談ください。

クレジットカード各種取り扱い

当院では、デンタルローンを使用することが可能です。
まとまった金額でのお支払いが難しく、矯正治療を諦めていた方などは是非当院へご相談ください。

全顎矯正の場合
費用 900,000円(990,000円/税込)
支払い回数 120回
月々 8,899円(9,789円/税込)
部分矯正の場合
費用 400,000円(440,000円/税込)
支払い回数 120回
月々 3,954円(4,350円/税込)

クレジットカード各種取り扱い

CONTACT お問い合わせ