親知らずの抜歯

親知らずの抜歯について

親知らずはお口の中で一番奥にある歯です。 智歯とも呼ばれることもあり、一番前の歯(中切歯)から数えて8番目の歯となります。
親知らずは、斜めや横向きに生えることが多く、ときには歯ぐきの炎症や痛みの原因になることもあります。
親知らずがあることで歯が磨きにくくなり、虫歯や歯周病を引き起こすことがあるので、適切な治療を行うことが大切です。

そもそも親知らずは抜かないといけないの?

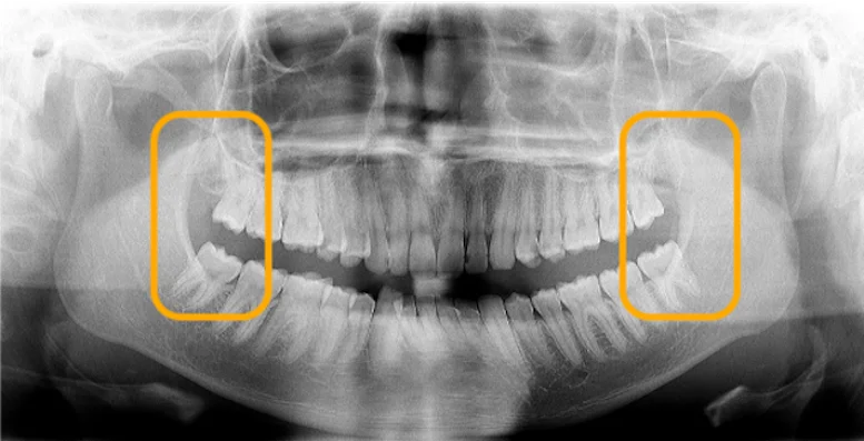
親知らずは前歯から数えて8番目にある口の中の最も奥に生えてくる歯です。
「親知らずは絶対抜いた方がいい」、「痛くないのであれば親知らずは抜かなくていい」、「少しでも親知らずの白い部分が見えていれば抜くべき」など、親知らずの抜歯に関して様々な意見を聞くと思います。当院では親知らずの今後の活用も含めてご提案させていただきます。 特に、痛みや腫れがすでに発生している場合は早い段階での抜歯が必要です。そのままの状態にしていると、歯並びが悪くなったり、あごへの負担、噛み合わせの乱れなど他の歯にも悪い影響を与えてしまいます。
ですが、抜歯の必要がないケースもございますので、まずは当院へご相談ください。

親知らずを抜いた方がいいケース

1.痛みや腫れがある

親知らずは一番奥の歯です。そのため歯磨きが難しく、虫歯や歯周病になりやすいです。 虫歯・歯周病が原因で、痛みや腫れが出てくることがあります。
また、唾液中の細菌が親知らずの周囲に感染することによって【智歯周囲炎】という病気を起こすことがあります(【智歯】=親知らず)。 この場合にも痛みや腫れをともないます。 智歯周囲炎は埋まっていない親知らずでも、上の歯との噛み合わせの刺激で起こる場合があります。

2.歯並びに悪影響が出ている

親知らずはこのように横向きに生えることが多いです。 横向きに生えた親知らずは手前の歯をグイグイと押し、歯並びに悪影響を与えることがあります。

3.腫瘍や嚢胞の原因になっている

親知らずが原因で含歯性嚢胞(がんしせいのうほう)などの嚢胞や腫瘍ができる可能性があります。

親知らずを抜かなくてもいいケース

  • 痛みや腫れがなく、親知らずが正常に生えて機能している場合
  • 骨の中に完全に埋まっていて、レントゲン写真上問題が無い場合
  • その他、特に悪影響を及ぼすことがないと判断された場合

は抜歯の必要はありません。

親知らずを抜かなくてもいいケース

先ほどご説明した通り、親知らずが正常に生えて機能している場合には放置していても問題ありません。 横向きに生えていたり埋まっている親知らずを放置した場合はどうなるのか。 その場合、「親知らずを抜いた方がいいケース」でご紹介したような状態になる可能性があります。

  • 痛みや腫れが出てくる
  • 歯並びが悪くなる
  • 手前の歯を溶かしてしまう
  • 嚢胞や腫瘍の原因になることがある

必ずしもこのような状態になるわけではありませんが、心配な方は是非一度親知らずの状態を診せてください。

当院の親知らずの抜歯の特徴

親知らず自体が虫歯になっている場合や、親知らずの影響で周囲の歯が虫歯や歯周病になりやすくなっている場合は、親知らずの抜歯をして治療を行います。
その場合は、親知らずの生え方や血管・神経の位置などをCT撮影を行い正確に検査し、安全面に配慮して抜歯します。リスクを伴う場合は、提携先の専門外来をご紹介しますのでご安心ください。

特徴①当院は迅速な抜歯を実現(30〜60分前後※の治療)

口腔外科領域に長けた歯科医師が複数人在籍しています。 豊富な症例件数により複雑な状態の抜歯も安心して受けられます。
※症例によっては時間がかかる場合もあります。

特徴②診査診断を徹底して安全・正確な治療

CTで術部の診査診断を行い、口腔外科手術でより安全に抜歯を行います。

特徴③徹底した衛生管理

当院では、世界で最も厳しいヨーロッパ基準の最高ランク「クラスB」に準拠した滅菌器を完備しており、医療器具は使用するごとに付着したウィルスや細菌を死滅させ、1回に使用する分ごとにパックして衛生的な状態で保管しています。また、マスクやグローブ、エプロン、コップなど使い捨てにできる道具は、毎回交換を徹底しています。

抜歯後の親知らずの再利用について

虫歯や歯周病、怪我などで歯を失った場合は、抜歯した親知らずを欠損部に埋め込む「再植療法」にも対応しています。ご自分の歯を使用するので安心・安全です。

治療費の目安

処置の時間 約60分
来院回数 1~2回
費用 ¥10,000円前後(埋伏抜歯・CT撮影含む)
※保険適用

CONTACT お問い合わせ